Advertorial Berita Daerah Desa Kita Event Hiburan Hukum International Kota Santri Masa Lampau Nasional Olahraga Opini Pendidikan Politik & Pemerintahan Ragam Teknologi Tokoh Travel Wanita Wonderland Wonosalam

Peran CT-Scan dalam Diagnosa Kista Ginjal

Anggi Fridianto • Jumat, 13 Juni 2025 | 00:07 WIB
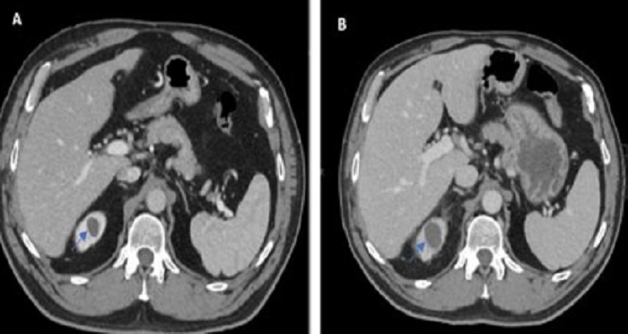
(Sumber foto: Mansour et al., 2023)
(Sumber foto: Mansour et al., 2023)

Radarjombang.id - Kista ginjal adalah kantung berisi cairan yang berkembang di dalam jaringan ginjal.

Sebagian besar kista sederhana bersifat jinak, tidak menimbulkan keluhan, dan sering kali ditemukan secara tidak sengaja saat seseorang menjalani pemeriksaan USG, CT-Scan, atau MRI.

Kista ginjal dibedakan menjadi dua jenis, yaitu kista sederhana dan kista kompleks. Kista sederhana memiliki dinding tipis dan berisi cairan bening, sedangkan kista kompleks ditandai oleh penebalan dinding, kalsifikasi, atau bagian padat yang memerlukan evaluasi lanjut karena berisiko menjadi kanker.

Komplikasi dari kista yaitu infeksi dengan gejala nyeri pinggang, demam, dan hematuria. Penyebab kista ginjal bisa bersifat degeneratif, terutama pada populasi lansia akibat penurunan elastisitas tubulus ginjal atau genetic.

Seperti penyakit ginjal polikistik autosomal dominan (ADPKD). Kondisi lain seperti gagal ginjal kronis dan infeksi kronis juga dikaitkan dengan kista ginjal kompleks atau multifokal.

Case Study

Pria 60 tahun datang ke UGD dengan keluhan mual, nyeri perut memburuk pada bagian bawah setelah buang air kecil, urin gelap dan menggumpal. Riwayat medis mencakup ketergantungan tembakau, arteri koroner, GERD, sialadenitis, kista ginjal stabil, obesitas, dan striktur uretra kronis. Saat evaluasi tanda vital normal, tidak ada demam, dan pemeriksaan fisik tidak menunjukkan nyeri tekan abdomen. Analisis urin menunjukkan piuria, hematuria, dan leukositosis neutrofili.

Protokol dan Teknik  Pemeriksaan

Pemeriksaan CT-Scan untuk mengevaluasi kista ginjal harus mencakup fase pencitraan tanpa kontras (untuk mendeteksi kalsifikasi kecil, perdarahan, serta menentukan level dasar pengukuran patologi). Kemudian diikuti fase pencitraan kontras melalui injeksi intravena. Pemindaian harus mencakup fase nefrografik (untuk menilai lesi fokal), fase corticomedular (disebut fase arteri), dan fase ekskresi (untuk menilai sistem pyelocalyceal).

CT-Scan dianggap mampu memberikan informasi mengenai ukuran, lokasi, dan sifat kista. Jika hasil CT-Scan menunjukkan tanda infeksi (seperti penebalan dinding kista atau peningkatan densitas cairan), langkah selanjutnya adalah melakukan aspirasi kista melalui kulit dengan bantuan radiologi intervensi.

Hasil pemeriksaan CT-Scan pada pasien tersebut menunjukkan perubahan ginjal kanan karena kista. Gambar A menunjukkan kista berukuran 18 mm (pemeriksaan tiga tahun yang lalu). Sedangkan gambar B menunjukkan penumpukan lemak perinefrik, perubahan ukuran kista dari 18 mm ke 26 mm, dan peningkatan densitas kista dari 12,8 HU menjadi 22 HU.

Keunggulan pemeriksaan CT-Scan dengan obat kontras yaitu mengevaluasi perbedaan densitas (nilai HU) pada fase non kontras dan fase kontras. Obat kontras bertujuan untuk mendeteksi septa tipis dan nodul kecil yang hanya terlihat pada contrast enhancement. CT-Scan digunakan karena cepat, mempunyai resolusi gambar yang baik,  dan akurasi pengukuran volumetrik untuk  memperkirakan ukuran ginjal.

Kekurangan pemeriksaan CT-Scan yaitu menggunakan radiasi pengion dan obat kontras. Terkadang, kista sederhana berisi cairan dan berdinding tipis hanya terlihat jika pemeriksaan menggunakan obat kontras. Sementara obat kontras dapat bersifat nefrotoksik dan mempunyai efek jangka panjang  pada pasien ADPKD.

Infeksi kista ginjal jarang terjadi karena sebagian besar kista tidak bergejala dan tidak menimbulkan komplikasi. Jika infeksi muncul, diagnosis dini dan penanganan tepat penting untuk mempercepat pemulihan. Infeksi kista soliter lebih jarang dibandingkan pada ADPKD. Drainase perkutan dengan CT-Scan menjadi pilihan intervensi yang semakin sering digunakan apabila terapi medis tidak memadai.

 

Dosen Pengampu: Amillia Kartika Sari, S.Tr.Kes, M.T

Oleh: Ningdra Ainus Sa ' adah, Esa Arifa, Dhea Fauziah Ananda, Miftahul Naimah, Asti Pangestu, Indah Ayu Prasasti, Maghfiratun Nisa, Leilani Beatricea

*) Mahasiswa Prodi D4 Teknologi Radiologi Pencitraan, Universitas Airlangga

Referensi

Agnello, F. et al. (2020) “CT and MR imaging of cystic renal lesions,” Insights into imaging, 11(1), p. 5. Available at: https://doi.org/10.1186/s13244-019-0826-3.

Mansour, P. et al. (2023) “A unique presentation of an infected renal cyst: A case report and literature review,” Cureus, 15(10), p. e47966. Available at: https://doi.org/10.7759/cureus.47966.

Sergi, C.M., Guerra, L. and Hager, J. (2025) “Autosomal Dominant Polycystic Kidney Disease-related multifocal renal cell carcinoma: A narrative iconographic review,” International journal of molecular sciences, 26(9). Available at: https://doi.org/10.3390/ijms26093965.

Trpkov, K. et al. (2021) “Novel, emerging and provisional renal entities: The Genitourinary Pathology Society (GUPS) update on renal neoplasia,” Modern pathology: an official journal of the United States and Canadian Academy of Pathology, Inc, 34(6), pp. 1167–1184. Available at: https://doi.org/10.1038/s41379-021-00737-6.

Editor : Anggi Fridianto
#ginjal #kista #ct scan